2.45GHzのマイクロ波施術


深部へ熱を届けながら、皮膚表面を火傷リスクを軽減するため
マイクロ波照射と同時に冷却しながら施術します。
従来の高周波(RFラジオ波)と比較して高出力で、効率的に脂肪層へ照射することができます。
韓国製ではありません
昨今、韓国製エステ版オンダリフトと呼ばれる
コピー製品が出ているそうです。
性能や安全性、効果についてはわかりません。

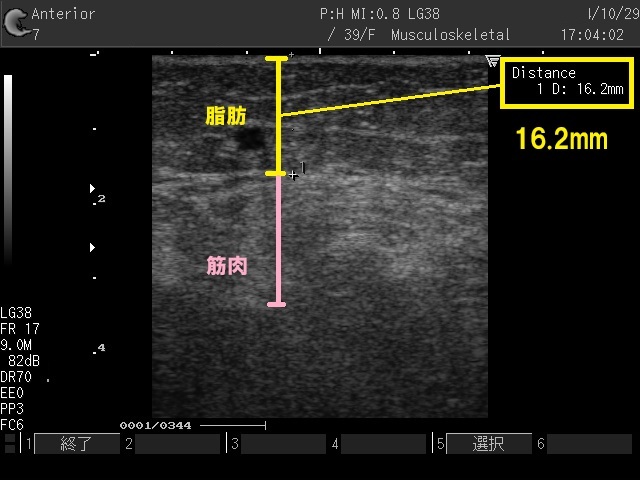
施術前に脂肪の厚みを計測できます
超音波エコーで脂肪の厚みを測ることで、顔の脂肪を減らすべきか、リフトだけにしたほうがいいのか、アドバイスが可能です。
- 顔がコケたくない方は脂肪を減らさないように、皮下3mmでタイトニング
- 顔ヤセ・小顔をしながらリフトアップもしたい方は、皮下7mmで脂肪減少
- 痩身ダイエットでは、脂肪の多い部分に12~13mmに照射し脂肪減少

※何が合っているのか悩む方は、カウンセリングを推奨しております。
施術の間隔はどれくらい?
顔
- はじめの集中ケアとして2回~3回くらいは2~3週間に1回が推奨されています。
効果をキープするために2ヶ月~6ヶ月間で継続を行うことが推奨されています。
痩身
- 3週間毎で5回程度の継続が推奨されています。
1回で効果が出ると謳う広告も見かけますが、大げさな広告文言を信用してはいけません。 - 1ヶ月毎の継続が推奨されています。
施術は痛いの?
- 暖かく気持ちいい受け心地です。痛みはほとんどありません。心地よく安心して施術を受けることができます。
- 熱さや骨に響くような痛みが強い場合は、我慢せずお申し出ください。肌の奥まで熱が発生しますので、終わった後もしばらく温泉に入った後のような、じんわりとした温かさが残ります。
注意事項
治療後は全体的にすこし赤みが出ますが、数時間程度で改善します。 赤みが残りやすい方の場合、翌日まで続くことがあります。
ごくまれに皮下出血が出ると言われていますが、徐々に消失しますので数日お待ちください。 ※個人差があります。
禁忌事項
顔では口腔内にインプラントや金属のかぶせものがある場合、身体ではタトゥーや内固定の金属プレート、ボルト、クリップ、ステント等がある方は受けることができません。マイクロ波は電子レンジと同じで、金属がある部分には使うことができません。(セラミックは非金属)
ご注意ください
※痩身のご予約は、必ずカウンセリング(無料)を受けてから予約受付となります。カウンセリングの予約をせずに施術予約をされた場合はカウンセリングとなります。
※痩身のご予約は、お取りいただいた時点では【仮予約】となります。追って当院からご連絡を差し上げますので、スケジュールの確定をご相談させていただきます。悪しからずご了承ください。
料金
※予約時間と施術時間は異なります。
※ポテンツァは他の一般価格の最安値で3万円ほどします。ポテンツァをセット1万円で低料金!!
通常、50kジュール~80kジュールのところ、100kジュールを標準とさせていただいております
※料金は予告なく変更する場合があります
| フェイシャル | 税込価格 | kジュール数 |
| 【ライト】両頬+顎下(※1) | ¥15,000 | 70 |
| 【標準】両頬+顎下(※2) | ¥19,800 | 100 |
| 【増量×2】両頬+顎下(※3) | ¥35,000 | 200 |
| 【ライト】+ポテンツァ顔半分 | ¥25,000 | 70 |
| 【標準】+ポテンツァ顔半分 | ¥29,800 | 100 |
| 【増量×2】+ポテンツァ顔半分 | ¥45,000 | 200 |
(※1)一般的な照射量で回数ごとに徐々に効果を出していくメニューです
(※2)照射量を増量し、効果もより高く割安のメニューです
(※3)1回~2回で早期に効果が期待でき、さらにお得です
ボディ料金
| 痩身・ダイエット | 税込価格 |
| 腹部(前面):1エリア | ¥19,800 |
| 腹部(前面+両脇腹):2エリア | ¥29,800 |
| 両二の腕:2エリア | ¥29,800 |
| 両ふくらはぎ:2エリア | ¥29,800 |
| 背中:2エリア | ¥29,800 |
| 腰:2エリア | ¥29,800 |
| 両太もも(前面)or(後面):2エリア | ¥29,800 |
| 両太もも(前面+後面):4エリア | ¥59,600 |
※【予約について】を必ずご確認ください




